そもそも歯周病とは
歯周病とは
歯を支える組織の病気
昔から言われている歯槽膿漏に歯肉炎を含めたものが歯周病です。
歯を支える組織(歯周組織)は4つの組織が含まれます。
1)歯肉
2)歯根膜
3)歯槽骨
4)セメント質
これらが障害され歯を支える組織がダメージを受けて減り、最終的には歯が抜けてしまう病気です。
しかし、外から見える部分は1)の歯肉だけです。最も大切な歯槽骨やセメント質はいくら口の中を覗き込んでも見ることができません。さらに悪い事に症状(歯肉の腫れ、歯の揺れ、歯の病的な移動、膿が出る、口臭等)がなかなか出ません。症状が出る頃には手遅れとなっている場合も多く目にします。
原因は?
歯周病の原因
歯周病の原因について簡単に
歯周病の一番の原因はプラーク(歯垢)といわれています。プラークは食物残渣(食べカス)とは異なり、爪楊枝やブクブクうがいでは取れません。ブラシによる擦過(こすりとる事)によってのみ除去できます。残念ながら抗生物質等の薬品でも、消毒薬でも酵素でもとれませんし、溶ける事もありません。プラークはその体積の80%が細菌の固まりで、残りの20%が細菌が歯にへばりつく時に出すネバネバです。悪くしない為には徹底したプラークコントロールが必要です。それにより歯肉の炎症は改善されます。
また、もう一つ重要な事が力の要素です。想像してみて下さい。地盤の悪い所に立てた浅く植え込んだ杭は、大地震ではなく、風が吹いただけでも揺れてしまいます。我々の歯は、この揺れ、特に横揺れには極端に弱く出来ています。垂直的に支えられる力の1/10〜1/8程度しか負担できません。ですから、部分入れ歯の金具のかかっている歯や、ブリッジの土台になる歯は悪くなりやすいのです。プラークコントロールとともに、この力のコントロールもとても重要です。
そして、治療終了後もこのプラークコントロールの継続と、力のコントロールを続ける事、すなわちメインテナンスが重要になります。長持ちの秘訣は3つです。
1)炎症のコントロール(プラークコントロール)
2)力のコントロール
3)メインテナンス
どれが欠けても長期的に安定する予後は難しくなります。
歯周病が引き起こすと言われている様々な疾患
歯周病との関連が強く疑われている病気について
海外では15年以上前からこの問題が盛んにクローズアップされていました
歯周病が原因となる可能性が強く示唆されている疾患をあげます。
1)認知症
2)脳梗塞
3)気管支炎
4)心筋梗塞
5)細菌性内膜炎
6)冠状動脈疾患
7)誤嚥性肺炎
8)腎炎
9)早期低体重出産
10)糖尿病
11)リウマチ など
歯周病を憎悪させるリスクファクター
歯周病を悪化させる、治療効果に妨げとなる疾患や状態
治療においてこれらが大きな問題となる場合があります
歯周病のリスクファクターをあげます。
1)糖尿病
2)ストレス
3)不摂生な食生活
4)肥満
5)喫煙
特に5)にあげた喫煙は、ご本人の意識次第でリスクファクターを変化可能な唯一のものです。また、喫煙者は治療に対する反応が悪く、治療効果が出にくいばかりか、手術後の治癒も非常に悪い事が多いです。当院では禁煙指導も行う場合があります。
実際の治療法
実際どのように治療していくか簡単にまとめます
実際には患者さん一人一人全く異なる内容になりますが大まかに説明します。
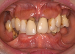
最初に痛い歯やしみる歯の処置が終わったら、歯周病の検査を行います。検査結果の分析のあとはまず最初に歯周基本治療として、プラークコントロールを行います。歯石の掃除に先駆けてしっかりプラークコントロールしておく事で、その後に歯がしみるような事をだいぶ予防できます。次に不良補綴物(きちんとあっていない被せものや、詰め物など)を、暫間補綴物(仮歯)に変えて、プラーク細菌の隠れ家をなくしていきます。
この際、歯肉の中の歯石の除去、虫歯の処置、根管治療、揺れる歯の固定等を行い、この期間の患者さんのお体の反応をみて(2度目の検査を行います)最終的な治療計画を立てていきます。この治療計画の立案には多数の経験と知識が必要になりますので、難しい症例では、矯正専門医、歯科技工士、歯科衛生士も交えてディスカッションしていく場合もあります。
この2回目の検査の結果外科処置が必要と判断される時には歯周外科処置を行います。また、必要の無い場合はメインテナンスに移行する、もしくは、補綴治療に移行していきます。
どのような流れにせよ、プラークコントロールは全ての歯周治療の根幹であり、患者さんと共に我々も努力していく所でもあります。
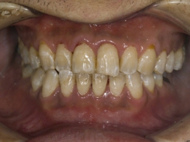
プラークコントロールの前後で、歯肉の変化を見てみましょう

初診時です。歯肉が腫れ、一部歯石も見えます。写真からは伝わりませんが口臭もありました。
約4ヶ月にわたるプラークコントロールのあとです。腫れていた歯肉は引き締まり、口臭も無くなりました。
もちろんこれだけで歯周病治療が終了するわけではありませんが、このようにご自身でプラークコントロールが上手くできるようになる事は全ての治療の基本となります。





TOPへ
