歯の移植
歯の移植の概略
過去の歯の移植について
私が歯学部の学生だった頃、また大学を卒業し、医局員だった頃の歯の移植は、5年もてば成功であると、まことしやかに言われておりました。学生の講義でも、そのように教えていたと思います。
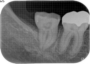
当時の歯の移植は、移植歯を抜歯したら、歯の根の表面の徹底的な清掃(掻爬)と、根管治療を口腔外で行いその歯を移植していました。しかし、それでは移植歯は移植された所の歯槽骨(もともとの歯を支える骨)とどんなに上手くいっても骨性癒着を起こします。この癒着した歯の根は時間と共に周囲の骨組織に吸収され、やがて歯の根はあとかたも無くレントゲンから消え去り、まるで乳歯が抜けるように根の無くなった歯が抜けていきます。これが5年もてば成功といわれた所以です。
現在行っている歯の移植
現在は、ドナーとなる歯の抜歯前に移植される側の処置を終了し、ドナーの歯を抜歯するとほぼ同時に、当院では3秒以内に受容側の中にドナーの歯を入れます。これはとても速いスピードであるといえ、このスピードで確実に行う為に、いろいろな研究を行い、CTスキャンのデータを応用した現在の移植のシステムを構築致しました。
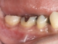
このようにして移植された歯は、歯の根の表面にある歯根膜と言う組織がほぼ完全に保存され、生着(生きた状態で移植されて機能する事)する事によって、将来矯正治療で歯を移動する事もできますし、被せもの等を行えば全く移植歯である事は気が付かれないレベルで仕上がります。
移植のメリット
歯の移植のメリット
歯の移植のメリットについて考えてみましょう
内容的にほとんどがインプラント治療との対比になりますが、メリットーデメリットについて比べてみましょう。
| 歯の移植 | インプラント治療 | |
| 噛んだ感覚 | 天然歯と同じ | 少し鈍いときがある |
| 治療終了までの期間 | 6〜8ヶ月 | 3〜14ヶ月 |
| 長持ちするか | 15年症例が示すように、問題なく長期もつ場合が多い | 世界最長は41年もっていいましたので、メインテナンス次第のところもありますが、長期的には安定しています |
| 費用 | 自由診療 | 自由診療 |
| 後の矯正治療による歯の移動 | 問題なく行えます | 全く動きません |
| 手術回数 | 1回 | 1〜4回(条件によります) |
| 年齢制限(子供でもできるか?) | 全く問題ありませんが、ドナーの歯の歯根の発育状態、患者さんの成長発達のステージ等によっては時期を考慮します | 子供は全く不適応です。前歯では30歳くらいまでは否定する文献も多数あります。 |
| 年齢制限(上限は?) | 全身状態がよく(手術に耐えられるか?)手術時の問題の無い患者さんであれば高齢でも可能です。 しかし、歯の無い所に移植する場合は40歳を境に成功率が少し下がると言う報告もあります。 |
ご高齢の患者さんの場合、全身状態がよく、登院しよう薬剤にアレルギーが無い場合は内服可能です。 |
移植のスケジュール
当院での移植治療のスケジュール
歯の移植を行った場合のスケジュール
歯の移植を行う前の検査を行います。
1)レントゲン撮影
2)CT撮影
3)模型検査 等
移植手術は静脈内鎮静法を併用しますので、リラックスしてうとうとしている間に終了します。
移植後は、移植歯の固定方法にもよりますが、大体は毎診療日に1週間毎日ご来院頂き、固定状態のチェックと必要があれば修正や修理を行います。
移植手術より2〜3週後より根管治療を行います(成人で根の成長が終了している患者さんの場合)。
根管治療の間隔は2〜3週毎で、約4ヶ月行います。
根管治療の終了後は、被せものをして、治療は終了となり、メインテナンスに移行して行きます。











TOPへ
